治療の跡が残らない
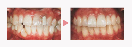
自信をもって笑える!
審美歯科治療は、歯を美しく見せる治療のほか、顔のゆがみを正常に戻したり歯列矯正、また歯ぐきを、きれいなピンク色に戻す治療も審美歯科治療となります。

保険内での審美的な治療は大きく分けて「レジン充填」と「硬質レジン(HJK)(硬質レジン前装冠)」になります。
「レジン充填」は歯を除去して白い詰め物で治療する方法です。歯が着色している場合の保険内で治療する方法です。
「硬質レジン(HJK)(硬質レジン前装冠)」は歯の色に近い合成樹脂で全体をかぶせる方法です。お水を吸収するため、何年かたつと変色してきます。
保険適用内で治療ができきます。
「ジルコニア」は、ジルコニウム金属(Zr)の酸化物で、透明度を有した白色の自由度の高いセラミックです。粘り強さと曲げ強度があり、「硬いがもろい」というセラミックの欠点を解決したファインセラミックです。美しい色調と高強度の為、金属に代わる歯科材料としてクラウン、ブリッジ、インプラント治療などに応用され、歯科治療での利用が増加しています。
ファインセラミックとは、一般の陶磁器(セラミックス)とはことなり、高硬度、耐磨耗性、耐熱性、腐食性、伝熱性を最大限に出すため、人工的に抽出、合成された高純度な微粒子を超高温度で精密加工した付加価値の高いセラミックスです。
オールセラミックは、色合いが自然の歯に近く、透明感もあり、変色もしにくいという特長があります。主に前歯の審美治療に利用されます。
歯の間が空いていたり、歯が短くなっているのをかぶせて直します。
表面だけ削ってきれいにする方法です。
