歯の健康は、私たちの生活の中で
重要な位置をしめしています。
歯の健康は、私たちの生活の中で重要な位置をしめしています。世田谷区三軒茶屋にある歯科医院の渡辺歯科では、患者さんとのカウンセリングやコミュニケーションを大切にし、治療とともに予防にも力を入れています。


オーラルテスターとは、虫歯の原因であるミュータンス菌や唾液の量など調べる方法です。検査結果により虫歯になりやすいか否かを診断し適切な診療を行います。カリエスとは虫歯を指す言葉で虫歯のなりやすさのことを「カリエスリスク」といいます。このカリエスリスクが高いと虫歯になりやすく、低いとなりにくくなります。
ガムを噛んで唾液を出すだけの簡単な検査で、あなたのお口の状態が判ります。その日のうちに結果がわかりますので、適切な診療を行うためにも渡辺歯科では皆様にお勧めしております。
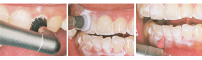
PMTCとは、お口の中の汚れや虫歯の原因菌を専門的なブラッシングで清掃する方法です。
頑固なバイオフィルム(歯垢)をブラシと研磨粒子の粗いペーストで磨き、除去します。
次に研磨粒子の細かいペーストでエナメル表面を滑沢にしていきます。
歯の間の汚れや舌苔の除去など口腔内全体の清掃をしていきます。
虫歯は細菌が作る酸によって歯の表面が溶かされてしまう病気です。フッ素塗布とは、歯の表面にフッ素を塗布する方法です。この方法で歯の表面にフッ化カルシウムが作られ虫歯に強い歯になります。虫歯は酸性を好む細菌のため歯の表面全体を耐酸性にしてゆきます。
フッ素の働き
歯の表面のエナメル質にフッ化カルシウムが作られ虫歯に強い歯になります。 (初期の虫歯なら自然修復されることもあります。)
フッ素には、抗酵素作用・抗菌作用があり、細菌の働きを抑制し、酸を作らない状態を保ちますので、口腔内の環境を改善させます。
フッ素の安全性
フッ素は自然界の物質で私たちが毎日食べている物の中に含まれています。
魚、海草、牛肉、ミルク、にんじん、ジャガイモ、、りんご、お茶 などなど・・・
しかし、フッ素は塩と同じで取りすぎには注意しなければなりません。
歯医者さんや保健所では、フッ素塗布を行ってます。
特に乳幼児や6歳程度までのお子様はフッ素入りの歯磨き粉を利用するなどして、継続的なフッ素塗布をおすすめします。