いつもの歯医者さんだから
気軽にホワイトニング
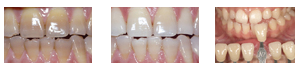
当院では、自宅でできるホワイトニングと医院で短時間でホワイトニングする2つの方法を取り入れております。患者様のご希望に合ったホワイトニングをお選びいただけます。

当院では、自宅でできるホワイトニングと医院で短時間でホワイトニングする2つの方法を取り入れております。患者様のご希望に合ったホワイトニングをお選びいただけます。
オフィスホワイトニングは、ビヨンドライトと言うホワイトニング用のライトを利用して、歯を白くする方法です。個人差はありますが約50分で歯を白くすることが可能です。また、継続して行うことでさらに安定した白さを維持することが出来ます。
【オフィスホワイトニング (ワンデイ)価格】
3回/1セット 35,000円(40~50分)
※オフィスホワイトニングに要する期間:診療日当日(約50分)。詳細は当院にお問合せ下さい。
このホワイトニング方法は、ハンドクリームなどにも使われている安全なホワイトニング成分の過酸化尿素を利用して、ご自宅で気軽にホワイトニングが出来る方法です。一人ひとりの歯の形に合ったマウスピースを作成することで、歯の裏側もホワイトニングが出来ます。オフィスホワイトニングに比べ、薬剤の濃度が弱いので即効性はありませんが、安定した白さを保つことが出来ます。
※就寝中にマウスピースを着用するタイプです。
【ホームホワイトニング価格】
26,000円
※詳細は当院にお問合せ下さい。
エアフロー(ジェットクリーニング)とは、炭酸水素ナトリウム(重曹パウダー)粒子をウォータースプレーで歯の表面に吹きかけて、器具を使用したクリーニングでは落とせないレベルの着色汚れ、タバコのヤニ、コーヒーによるステイン汚れをきれいにすることができます。エアーフローは表面の汚れや着色を落とすもので、歯石のように厚く固まったものを取り除く事は出来ないため、PMTC(物理的カリエス予防)やスケーリングと組み合わせて、口腔環境に合わせた治療をしていきます。
【エアフロー価格】
上下5,000円
上下歯どちらかの場合:2,500円
知覚過敏がある場合、刺激を感じる場合があります。一度では取りきれない着色は、数回に分けて行うことできれいになります。エアーフローは表面の汚れや着色を落とすもので、歯石のように厚く固まったものを取り除く事はできません。歯石を取り除く必要がある場合、保険診療のスケーリング(歯石除去)を行ってから、エアーフローをおこないます。